Großer Erfolg für die „Bildgeber“ am Universitätsklinikum Erlangen: Im April 2015 wurde der weltweit erste von Siemens Healthineers entwickelte 7-Tesla-Magnet in einem Neubau neben den Kopfkliniken des Universitätsklinikums Erlangen aufgestellt. In gut zwei Jahren konnte das Gerät in einer Entwicklungspartnerschaft zwischen Siemens Healthineers, FA), Uni-Klinikum Erlangen und weiteren Partnern zur „Serienreife“ gebracht werden. Mit der Vergabe der klinischen Zulassung (CE) ist der 7-Tesla-Magnetresonanztomograph (MRT) „Magnetom Terra“ jetzt der erste klinisch zugelassene Ultrahochfeld-MRT überhaupt. Damit kann das System nun routinemäßig für klinische Anwendungen bei neurologischen und muskuloskelettalen Untersuchungen eingesetzt werden.
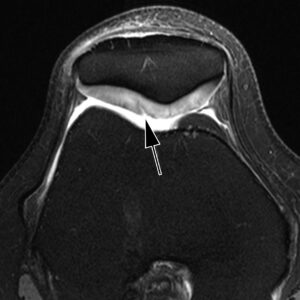
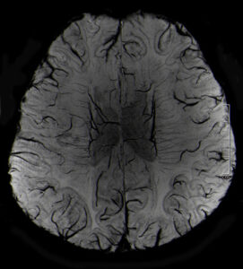
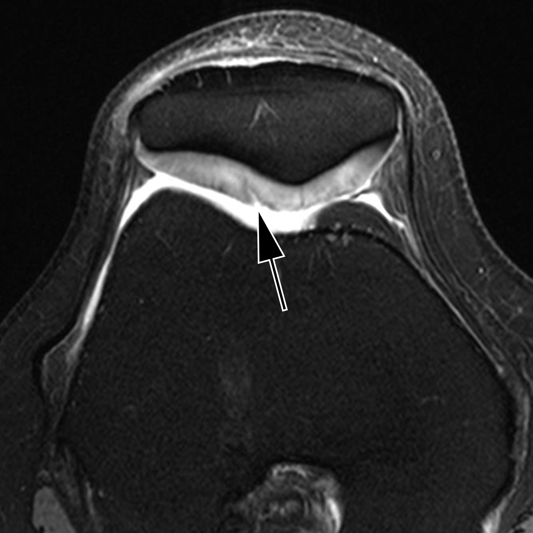
„Der neue MRT ermöglicht dank der sehr hohen Auflösung detaillierte Einblicke in den menschlichen Bewegungsapparat, zeigt präzise die Stoffwechselprozesse im Gehirn und hilft außerdem bei der Darstellung neurologischer Krankheiten“, sagt Prof. Dr. Michael Uder, Direktor des Radiologischen Instituts des Universitätsklinikums Erlangen. Für seinen Kollegen, Prof. Dr. Arnd Dörfler, Leiter der Neuroradiologischen Abteilung des Universitätsklinikums Erlangen, zeigt der neue MR-Scanner besonders bei Gehirnuntersuchungen seine Vorteile: „Bei 7-Tesla sind Gehirnschädigungen dank der besseren Auflösung und des deutlich stärkeren Bildkontrasts viel klarer zu erkennen.“ Anwendungsbeispiele hierfür seien Multiple Sklerose, Hirntumoren oder Metastasen, Epilepsie und Demenz, bei denen die höhere Detailauflösung neue diagnostische Möglichkeiten bietet, die bei niedrigeren Feldstärken so nicht möglich wären. „Viele Erkrankungen können so wahrscheinlich besser und schneller erkannt und damit effektiver behandelt werden“, so Prof. Dörfler
Der Grund für die bessere Auflösung der Untersuchungsbilder ist die höhere Messgenauigkeit des neuen Systems. Diese hängt mit der Feldstärke des Magneten im MRT zusammen. Je stärker das Magnetfeld ist, je genauer ist die Bildgebung. Da die Feldstärke am 7-Tesla-MRT mehr als doppelt so hoch ist, wie die der heute gebräuchlichen 3-Tesla-MRT, können nicht nur feinste Gewebestrukturen besser sichtbar gemacht werden, sondern auch Stoffwechselprozesse im Gewebe. Am Standort Erlangen werden die Möglichkeiten des neuen Ultrahochfeld-MRT jetzt intensiv weiter erforscht.
Ein Magnetresonanztomograph (MRT) erzeugt ein starkes Magnetfeld, entlang dessen sich die Wasserstoffatome im Körper des Patienten ausrichten. Mit Radiowellen-Impulsen werden die Wasserstoffatome kurz aus ihrer Position gebracht und mit Energie aufgeladen. Wenn sie dann in ihre vorherige Position zurückfallen, geben sie die zuvor aufgenommene Energie wieder ab, die dann vom MRT-System aufgezeichnet und in Computer-Schnittbilder umgewandelt wird.
Weitere Informationen:
Johannes Eissing
Tel.: 09131 85-36102
presse@uk-erlangen.de
Bildmaterial zum Download:




